月曜日に宅配が届いたので、
慌てて出ようとしたら、
ベッドの角に思いっきり足の小指をぶつけましたー!
なかり痛かったのですよ〜(≧∀≦)
すぐに治ると思っていたけど、
なかなか治らないから
整形外科へ行ってみると
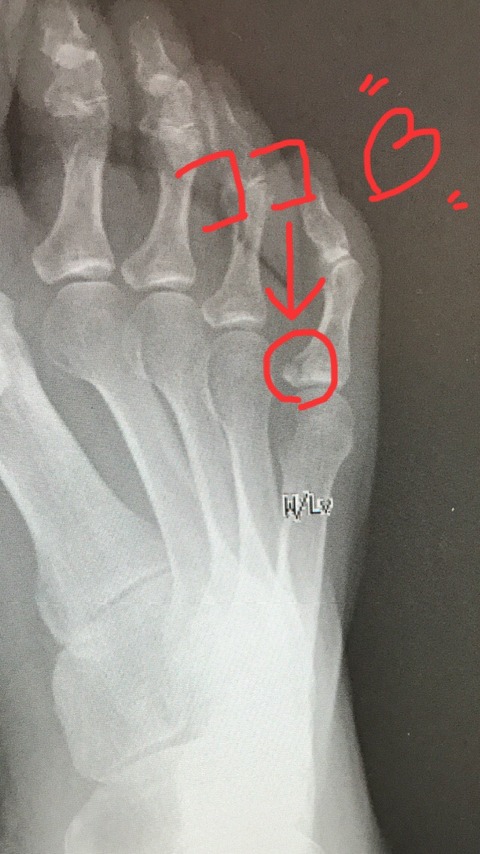
小指の関節部分が骨折していました(TT)
骨折だなんて…
生まれて初めてですp(^_^)q
基節骨骨折…と言う診断結果でした。
1ヶ月くらいで治るそうですが、
あまり歩かないように!
と、言われました(≧∀≦)
今年は年明けから色々あります^^;
3月だと言うのに、
私にとっての春は…
まだまだ遠いです〜〜〜(^^;;
やっぱり、健康第一!
皆さま、くれぐれもお元気でお過ごし下さいね〜!
業務連絡 :
家の中では慌てないことにしました!
そろり、そろ〜りと歩きます😊
応援よろしくお願いいたします!クリックお願いします!






